
贵阳金石合朋医院自今年8月份开展胃肠镜检查以来,在贵州医科大学附属医院内镜中心副主任陈万伟老师带领和指导下,共完成了73例胃肠镜检查,检查的患者中发现了:黏膜下隆起、消化性溃疡、糜烂性胃炎、萎缩性胃炎、胃潴留、食管乳头状瘤、Barrett食管、结肠息肉、大肠黑变病及溃疡性结肠炎等临床常见病变,根据检查结果,患者得到了及时对症的治疗。

胃黏膜下隆起

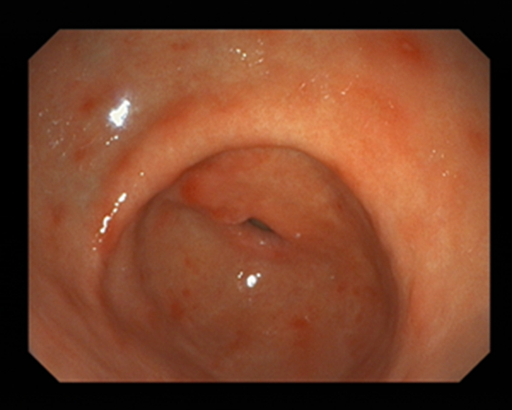
溃疡性结肠炎

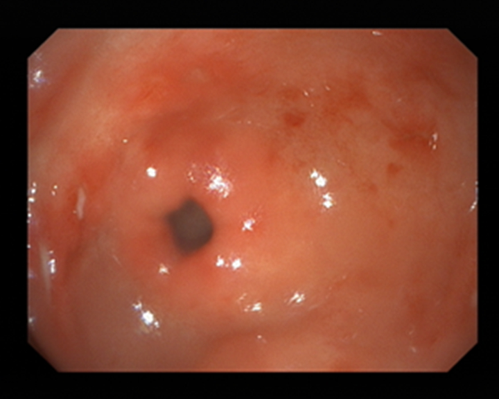
胃窦糜烂

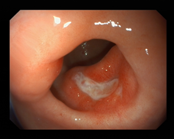
胃窦溃疡
胃肠镜检查对于确保我们消化道健康和消化道疾病的临床诊断具有重要意义,主要体现在以下三个方面:
一、早期发现病变
◆提高治愈率:胃肠镜检查能够直接观察胃肠道黏膜的微小变化,有助于癌症早期,甚至是癌前病变阶段就发现问题。此时进行干预治疗,治愈率可显著提高。比如早期胃癌的5年生存率可达90%以上,而晚期胃癌则低于20%。
◆及时发现息肉:胃肠镜还能及时发现胃肠道息肉等良性病变,大部分息肉可在镜下切除,防止其发展为癌症。

食管乳突状瘤

山田Ⅳ型息肉
二、诊断疾病
◆明确病因:对于不明原因的腹痛、腹泻、便血、黑便、消瘦等症状,胃肠镜检查是重要的诊断手段,能帮助医生直接观察胃肠道内部情况,确定病变部位和性质,从而制定精准的治疗方案。

十二指肠溃疡

大肠黑变病
三、预防保健
◆高危人群筛查:对于有胃肠道肿瘤家族史、长期不良饮食习惯、幽门螺杆菌感染等高危因素的人群,定期进行胃肠镜检查,可及早发现潜在病变和处理。早发现、早治疗。
◆监测疾病进展:患有慢性萎缩性胃炎、炎症性肠病等胃肠道疾病的患者,定期胃肠镜检查有助于监测病情变化,及时调整治疗方案,防止病情恶化。

美好“胃”来,“肠”久相伴。欢迎到院咨询!
咨询电话:19984502323、13984060653
专家介绍

陈万伟 外聘贵医专家 副主任医师
从事临床医疗、教学、科研二十多年;擅长消化内镜各级诊疗手术。胆胰疾病消化内镜诊疗(ERCP+EUS-FNA);消化道早癌诊断和ESD治疗;消化道黏膜下肿瘤内镜治疗ESE/EFTE、STER;贲门失迟缓内镜治疗POEM等。
◆中国人民解放军海军军医大学附属长海医院进修超声内镜
◆北京大学第三医院高级访问学者ERCP
◆日本NTT东日本关东医院访学
◆中国医师协会内镜医师培训学院培训导师
◆第八届中华医学会消化内镜学分会消化道癌筛查协作组委员
◆中国非公立医疗机构协会消化内镜专业委员会委员会委员
◆中国抗癌协会会员
◆贵州省医学会消化内镜学分会常委
◆贵州医科大学附属医院内镜中心副主任
◆贵州省医学会消化内镜学分会超声内镜学组副组长
◆贵州省医学会消化内镜学分会ERCP学组委员
◆贵阳市医学会消化内镜学分会常委

咨询热线:0851-82270577
黔ICP备2023011085号-1 黔ICP备2023011085号-2 贵阳金石合朋医院有限公司 网站直达号ID:1572
关注微信公众号